Full Mouth Rehabilitation - With crown lengthening - Erosion-Attrition case.
- Sep 27, 2020
- 2 min read
Patient CC came to see me regarding the unsightly appearance of her short upper front teeth and a gummy smile. She was diagnosed with Anorexia Nervosa, and also suffered from acid reflux. Once these medical conditions were controlled, she desired to improve the appearance of her teeth.
She never smiled more than what you can see in the picture. She had a very gummy smile so we decided to do some gum surgery to increase the length of the crown so that when she smiled she showed more of the white rather than her pink gingiva.
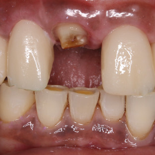
We extracted one of the front teeth which failed during treatment and restored the remaining teeth with crowns with milled ledges and upper and lower metal chrome dentures.
The patient was very happy with the result.
Pre-treatment Photos
Wax up and Mock up for getting patient consent and knowing end result
Crown lengthening stent made and surgery performed by Periodontal colleague, there was a discrepancy in the crown length of the laterals on either side, but the patient was not keen on revision surgery and we accepted the difference in length and the gingival zeniths of the lateral incisors
Tooth preparation, impression, immediate temporary and then lab-made provisionals with PMMA - Upper
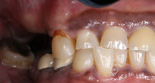
Fracture of the upper right central incisor at gum level after provisonalisation, this tooth was extracted and added as an immediate denture
Lower tooth preparation and impressions
Definitive preparation and impression Upper
Definitive crowns with milled ledges on canines and molars- Upper and lower
Impressions for chrome denture to pick up milled ledges and rest seats
Post treatment photos
This was one of the cases I presented for the MPros exam by RCS Edinburgh, if you would like to see the whole case written up in detail please follow the link.





































































Comments